Bent je wel eens slachtoffer van een geweldsmisdrijf geweest?

Gepubliceerd op 18 april 2025 om 20:40

Nee? Ik wel / Ja? ik ook.

 

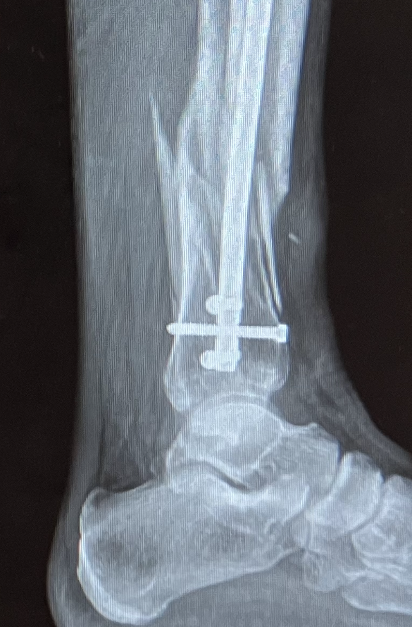
Op mijn werk (op een gesloten opnameafdeling van een psychiatrisch ziekenhuis) sloeg een agressieve jongeman mij een keer of tien tegen mijn gezicht en hoofd. Het bloed zat overal. Ik zakte bewusteloos in elkaar en brak mijn onderbeen op een bijzonder nare manier. De breuk leek op mij: open doch gecompliceerd, met weinig structuur en wat scherpe kantjes. Ik kreeg een infectie en lag weken in een ziekenhuis met om mijn been een stalen constructie. De breuk groeide verkeerd vast, dus kreeg ik een half jaar later een herstel operatie. Dat dit alles geen pretje was, is een understatement. Sterker nog: als je zegt dat ik een slechte tijd heb gehad, is dat nog steeds een understatement. Het was verschrikkelijk. Toch was het niet onoverkomelijk. Alles doet het nog (of weer) en als dat niet zo was geweest, heb ik ervaren, zou het leven ook gewoon zijn doorgegaan.

 

Bent je wel eens dader van een geweldsmisdrijf geweest?

 

Ik (ook) niet.

 

Ik heb er wel één van dichtbij gezien. In eerste instantie van veel te dichtbij, zoals ik hierboven al schreef. Ik had gelukkig op mijn persoonlijke alarm gedrukt, zodat mijn collega’s na een seconde of tien massaal aangestormd kwamen en zich op de dader stortten, die zich heftig verzette. Ongelofelijk hoeveel schade hij in tien seconden aanrichtte. Een half jaar later, vlak voor mijn hersteloperatie, zag ik hem opnieuw, nu netjes gemediceerd. Dunner en kleiner dan ik me herinnerde kwam hij schuchter op me af lopen, vóór de zitting. Ik was gelukkig niet alleen, want mijn hart bonkte in mijn keel en ik voelde me door mijn slechte been nauwelijks in staat me te verdedigen als het mis zou gaan. Hij gaf me een slap handje en mompelde excuses. Ik geloofde er niets van, maar dat veranderde tijdens de zitting. Lang verhaal kort: Hij was volledig ontoerekeningsvatbaar. Hij moet vier jaar lang alle controles toelaten die men nodig acht, hij moet praten met hulpverleners zoveel zij willen, hij moet wekelijks in een potje plassen, hij mag niet met zijn medicatie stoppen en krijgt die per injectie toegediend, hij raakt de controle over zijn financiën kwijt als dat nodig is en hij moet mij een bedrag betalen waar je een redelijke tweedehandse auto van kunt kopen. Als hij ergens niet aan meewerkt, wordt hij voor jaren opgenomen in een Tbs-kliniek. Na die vier jaar blijft hij nog ruime tijd onder controle staan. Dat alles terwijl hij dus eigenlijk niet verantwoordelijk was voor zijn daden. Hij kon zich het incident niet echt herinneren, wat vaak zo is bij psychoses. De aanval was hem evenzeer overkomen als mij. Hij heeft een psychiatrische ziekte waarvan het verloop nagenoeg vast ligt en de prognose slecht is. Deze jongeman wordt nooit meer beter, maar hoogstwaarschijnlijk wel slechter. Ik zou niet met hem willen ruilen. Na afloop ging ik naar hèm toe, schudde hèm de hand en wenste hèm succes.

 

Zelfs los van de moraal is het soms beter om slachtoffer te zijn dan dader.

 

Overigens, kijk hier eens:

https://www.boekscout.nl/shop2/boek/9789465092102

Reactie plaatsen

Reacties

Er zijn geen reacties geplaatst.